
Sport Trauma
Reading time: 1 minutes
An article from Orthopedics This Week, the most authoritative editorial in Orthopedics, highlights professional athlete Brian Farber's case treated with Lipogems at San Diego Orthobiologics Medical Group. The San Diego Sockers player spent two years away from the field due to a patellar tendon tear before finding relief through Prof. Tremolada's Lipogems method, administered by Dr. Rogers.
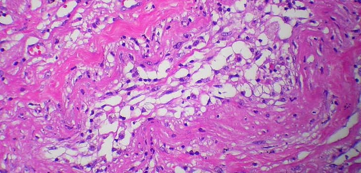
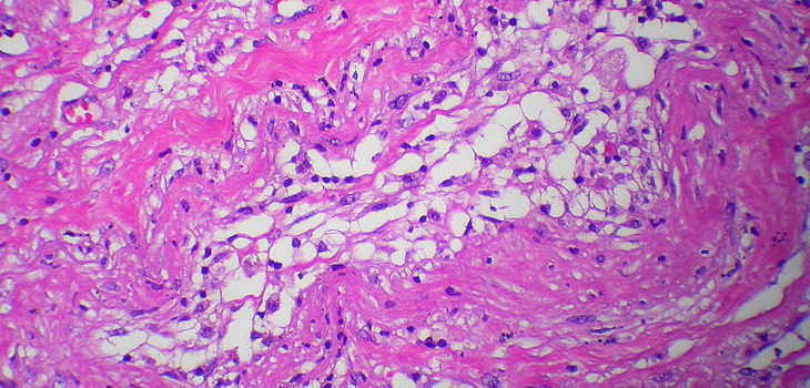
The Lipogems system utilizes adipose tissue harvested through lipoaspiration to create injectable material. The technology preserves adipose tissue integrity, maintaining its vascular network and extracellular matrix, supporting enhanced tissue integration.
Unlike systems using enzymatic Stromal Vascular Fraction (SVF), Lipogems is an FDA-cleared device for adipose tissue processing, applicable in orthopedic, arthroscopic, neurosurgical, general, and reconstructive surgery.
The Lipogems device consists of a transparent cylinder with filters and spheres for adipose tissue micro-fragmentation. The filters are equipped with Luerlock connectors to attach syringes containing lipoaspirate and processed tissue collection.
Lipogems' unique advantage is maintaining the complete regenerative environment of adipose tissue, enhancing cellular vitality and regenerative capacity. The present mesenchymal cells require support from other cells and proteins to exert their healing benefits.
In athlete Farber's specific case, following Lipogems treatment, a rehabilitation program was followed including physical therapy, progressive strengthening, and BEMER technology. After only six months of treatment, the athlete returned to professional play, in stark contrast to the previous two years of ineffective therapies.
Interested in this treatment?
Interested in this treatment?
Interested in this treatment?
Interested in this treatment?
sport-traumaAnother Orthopedic Success for Lipogems from San Diego (CA) Brian Farber of the San Diego Sockers (Professional Arena Soccer League) successfully returns to...
sport-traumaRexonAge® technology introduces novel possibilities for rapid and pain-free rehabilitation. Many individuals underestimate the importance of proper exercises...
sport-traumaWhat is Lipogems? Lipogems is an innovative technology that processes minimal quantities of adipose tissue in a completely closed system. The tissue is gently...
If you need more information feel free to give us a call: +39 02 76280736, or contact us using the form below.