Le nostre ricerche sulla medicina rigenerativa sono sviluppate in stretta collaborazione con prestigiose università e centri di ricerca internazionali, tra cui l’Università di Milano, l’Università del Piemonte Orientale e l’Università di Manchester (UK).
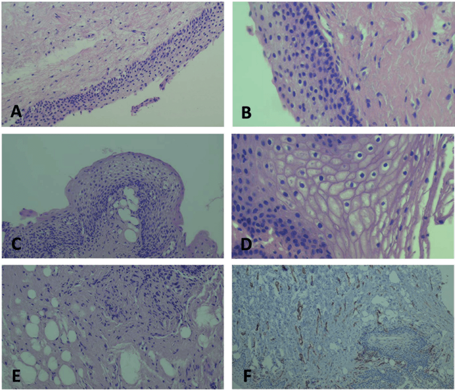
Insieme ai nostri scienziati, questi istituti accademici sviluppano studi avanzati per comprendere e ottimizzare il potenziale terapeutico del tessuto adiposo microframmentato (MFAT), con un focus su rigenerazione tissutale, angiogenesi, proprietà antinfiammatorie e antibatteriche. Grazie a un’analisi approfondita del secretoma – l’insieme di biomolecole rilasciate dal MFAT – esploriamo i meccanismi biologici che regolano la crescita cellulare, la riparazione tissutale e la comunicazione intercellulare.
La nostra ricerca si concentra su:
- Fattori di crescita e citochine, regolatori chiave della proliferazione e guarigione cellulare
- Lipidomica, per comprendere il ruolo dei mediatori lipidici bioattivi nella rigenerazione
- Esosomi, sofisticati vettori di segnali biologici tra le cellule
- Molecole antinfiammatorie, che modulano la risposta immunitaria e favoriscono la guarigione
- Fattori angiogenici, essenziali per la formazione di nuovi vasi sanguigni e la riparazione dei tessuti
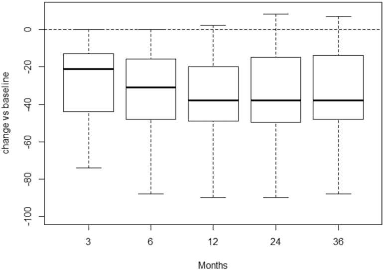
Queste ricerche, pubblicate su prestigiose riviste scientifiche (Stem Cell Int. 2019, Vasc Cell 2016, Br J Anaesth. 2018), non solo ampliano la conoscenza scientifica, ma hanno un impatto diretto sui protocolli clinici adottati in Image, garantendo trattamenti avanzati e basati sulle più recenti evidenze scientifiche.
L’obiettivo finale?
Portare la scienza al servizio della medicina rigenerativa, sviluppando soluzioni sempre più mirate ed efficaci per il benessere e la salute dei nostri pazienti.
































