Unsere Forschung zur Regenerativen Medizin wird in enger Zusammenarbeit mit renommierten Universitäten und internationalen Forschungszentren entwickelt, darunter die Universität Mailand, die Universität Ostpiemont und die Universität Manchester (UK).
Gemeinsam mit unseren Wissenschaftlern führen diese akademischen Institutionen fortgeschrittene Studien durch, um das therapeutische Potenzial von mikrofragmentiertem Fettgewebe (MFAT) zu verstehen und zu optimieren, mit Schwerpunkt auf Geweberegeneration, Angiogenese, entzündungshemmenden und antibakteriellen Eigenschaften.
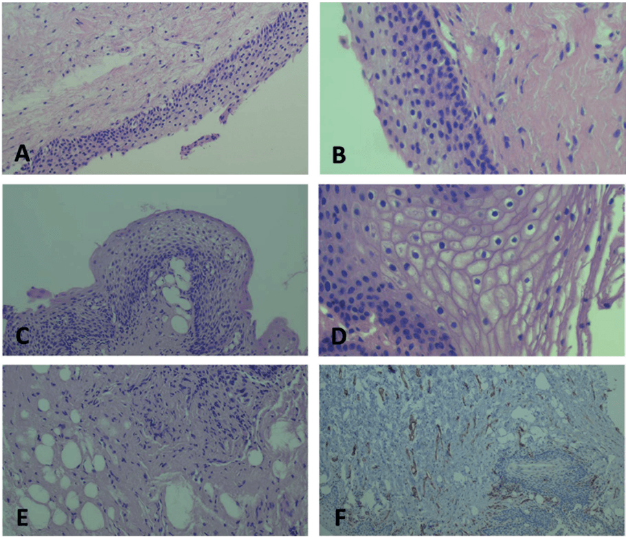
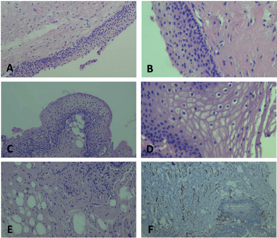
Dank einer eingehenden Analyse des Sekretoms – der Gesamtheit der von MFAT freigesetzten Biomoleküle – erforschen wir die biologischen Mechanismen, die Zellwachstum, Gewebereparatur und interzelluläre Kommunikation regulieren.
Unsere Forschung konzentriert sich auf:
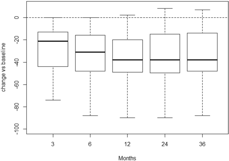
Diese Studien, veröffentlicht in renommierten wissenschaftlichen Zeitschriften (Stem Cell Int. 2019, Vasc Cell 2016, Br J Anaesth. 2018), erweitern nicht nur das wissenschaftliche Wissen, sondern haben direkten Einfluss auf die klinischen Protokolle, die von Image Milano angewendet werden, und gewährleisten fortschrittliche Behandlungen, die auf den neuesten wissenschaftlichen Erkenntnissen basieren.
Das ultimative Ziel? Die Wissenschaft in den Dienst der Regenerativen Medizin zu stellen, indem zunehmend zielgerichtete und wirksame Lösungen für das Wohlbefinden und die Gesundheit unserer Patienten entwickelt werden.

































